
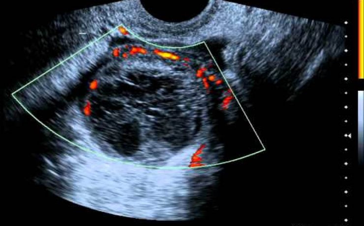
Correlación ultrasonográfica e histopatológica de los tumores de ovario
El cáncer de ovario, constituye el 2 % de las afecciones malignas de la mujer con una alta mortalidad, aproximadamente las dos terceras partes se presentan con lesiones muy avanzadas en el momento del examen imagenológico,1-4 trae por consecuencia una supervivencia menor de la paciente y un aumento del costo








