
Terapia con células madre en cirrosis
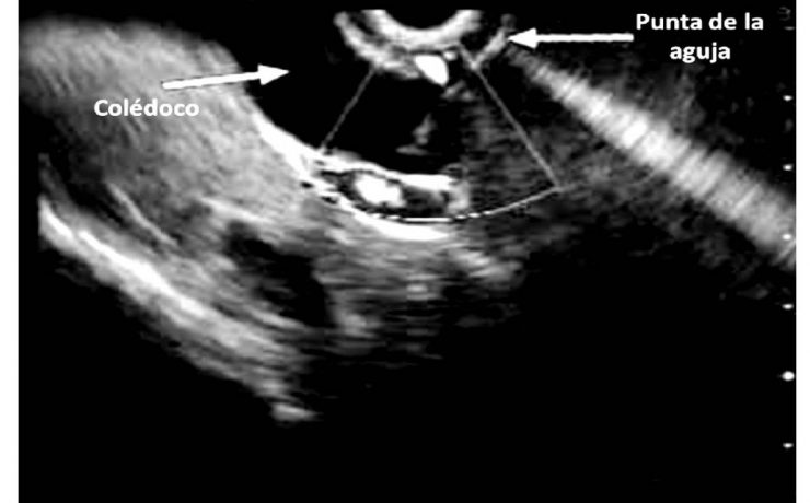
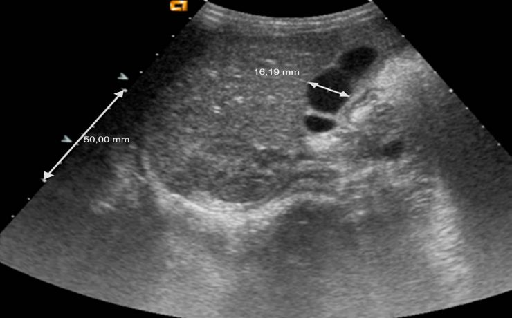
La cirrosis es un proceso difuso caracterizado por fibrosis y conversión de la estructura normal del hígado el nódulos estructuralmente anormales. Este artículo es una revisión de la literatura sobre células madre como terapia para cirrosis hepática. Se establece el transplante de táctico como único tratamiento curativo de Cirrosis. Tiene








