Skip links

Útero y ovarios

Útero y ovarios

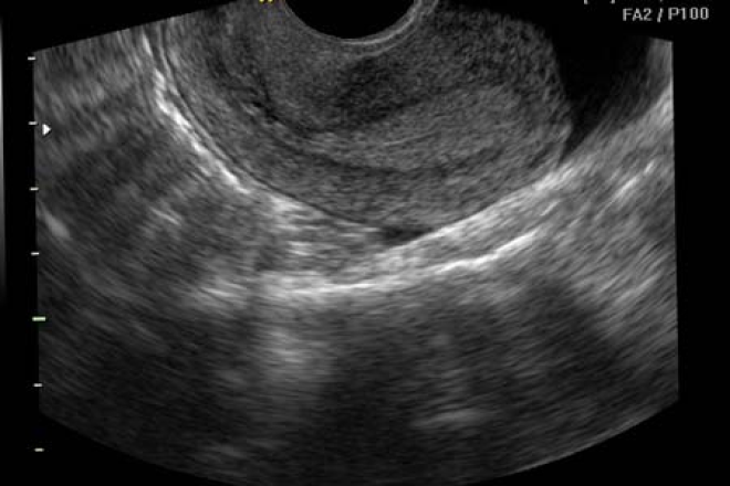
El útero es un órgano muscular piriforme, localizado entre la vejiga y el recto, formado por cuerpo y cuello. Presenta un diámetro de 50 mm en el cuerpo y 25 mm en el cérvix, con ligeras variaciones entre mujeres nulíparas y multíparas. En la ecografía, se debe medir desde el orificio cervical interno hasta el fondo uterino, considerando el cérvix por separado. La presencia de miomatosis uterina se sospecha ante un aumento del diámetro anteroposterior (mayor de 40 mm), siendo el diámetro normal de 35 mm (ap.). Estos diámetros no deben exceder en mujeres adultas; en nulíparas, se consideran normales restando 10 mm, siendo el diámetro longitudinal 40 mm y el diámetro anteroposterior 25 mm.

Endometrio

El endometrio ocupa el centro del útero y constituye la mucosa de la cavidad uterina. Su forma triangular es evidente en la vista coronal (frontal).

Posición del útero

Es crucial tener en cuenta la posición del útero, ya sea en anteversión o retroversión, para orientar el transductor de forma adecuada en planos coronales o transversales.

Ovarios

Los ovarios son órganos ovalados ubicados a los lados del útero, generalmente a la altura de ambos cuernos uterinos. Tienen aproximadamente 30 mm de diámetro vertical y 20 mm de espesor. Los ovarios producen óvulos, cuyos folículos se desarrollan y se rompen durante el ciclo menstrual.

Para estudiar los ovarios, se comienza identificando el útero en un plano sagital y se ubica el haz del ultrasonido en el fondo uterino. Posteriormente, se gira el transductor para obtener un corte transversal o coronal que muestre la imagen característica de los ovarios, con ecogenicidad similar a la del útero. Luego se procede a medir los diámetros, pudiendo hacerlo vía abdominal o intracavitaria.

Patologías comunes

En cuanto a las patologías, la miomatosis uterina es una de las más frecuentes y se manifiesta por un aumento de las dimensiones del útero, pérdida de homogeneidad en la ecogenicidad y deformidades en su contorno. Los folículos ováricos son quistes fisiológicos que se desarrollan y se rompen durante el ciclo menstrual, liberando el óvulo. En contraste, los ovarios poliquísticos se caracterizan por la presencia de múltiples quistes pequeños en el parénquima ovárico, asociados a una disminución de la ecogenicidad y un posible aumento de tamaño.

Además, es importante considerar la ubicación intracavitaria de un DIU, ya que su posición precisa puede requerir exploración radiológica y el uso de medios de contraste en la cavidad uterina.

Artículo escrito por el Dr. Jaime Martínez

Inscripciones para curso

Inscripciones para Diplomado

medicacapacitacion.com

#útero #ovarios #miomatosis #ovariospoliquisticos #DIU

Abrir chat
¡Conoce nuestros diplomados!
Diplomados en Ultrasonografía
Hola, conoce nuestros diplomados.