
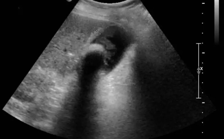
Enfermedad litiásica biliar
Entre un 5 y un 15% de la población occidental presenta litiasis biliar. La mayoría de los cálculos están compuestos por colesterol y se forman en el interior de la vesícula, desde donde pueden migrar a la vía biliar, causando eventualmente cuadros obstructivos. El diagnóstico








