
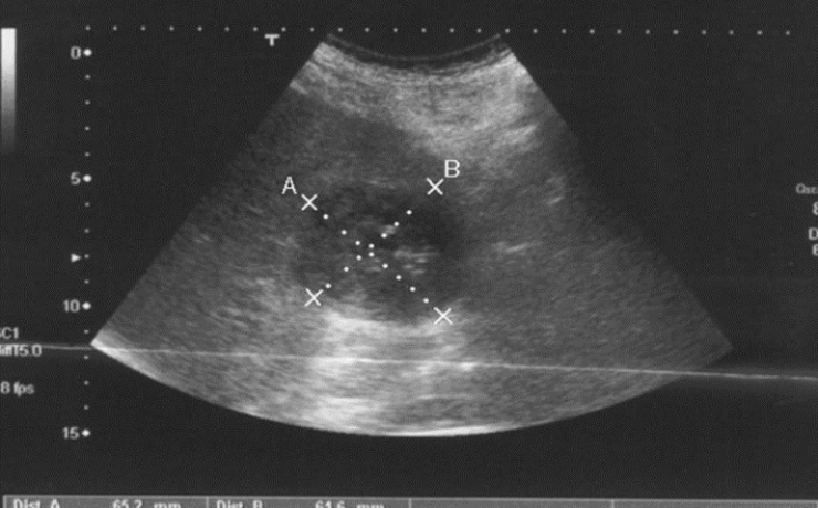
Hemangioma hepático poliquístico simulando un quiste hidatídico
El hemangioma cavernoso se define como una malformación vascular congénita y es considerado el tumor hepático benigno más frecuente. Tiene una prevalencia del 1 al 2%, afectando principalmente al sexo femenino a razón de 2:1 ò 5:1 variablemente. Habitualmente son asintomáticos y se detectan como



