
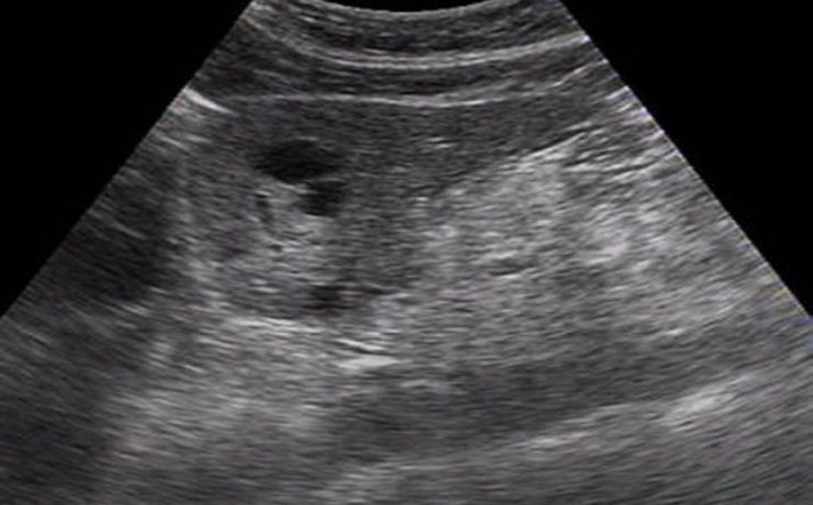
Aspectos ultrasonograficos del riñón
Los riñones órgano parque se encuentra en ambos lado de la columna vertebral dorso-lumbar, se sobreponen parcialmente en la parrilla costal baja y se sitúan retroperitoneales entra la 3ra y 6ta vertebra lumbares. Se dividen para su estudio en corteza, medula y seno; La densidad de su parénquima (medula y








