
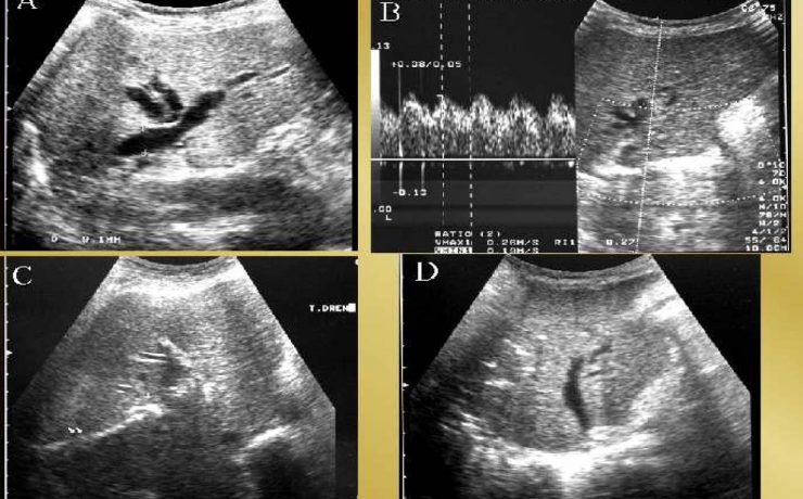
SEGMENTACIÓN HEPÁTICA. EVALUACIÓN ECOGRÁFICA
El hígado se encuentra en el hipocondrio derecho, pesa 1.5 a 2 kg en el adulto y se encuentra mantenido en su posición por la vena cava inferior, las venas suprahepaticas, el ligamento redondo del hígado y los ligamentos coronales y triangulares. Viendo al hígado de manera anterosuperior, se divide








