
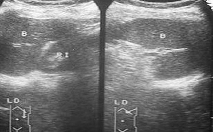
Ultrasonografía en diagnóstico de pancreatitis crónica.
Ultrasonografía en el diagnóstico de pancreatitis crónica El curso y el resultado de las enfermedades pancreáticas suelen ser pobres para la mayoría de los pacientes. Los avances en la formación de imágenes del páncreas son fundamentales para la detección temprana de estas enfermedades. La ecografía ha evolucionado como una herramienta








