
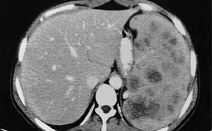
Quiste hidatídico primario de bazo
La hidatidosis es una enfermedad causada por Equinococus granulosus y que afecta principalmente a zonas endémicas donde existe disminución de la higiene, lugares con corrales o animales con problemas intestinales, alimentos donde se consumen vísceras crudos, en lugares urbanos se ha visto este tipo de patología donde abundan los perros








