
Valoración ecográfica de la patología ovárica
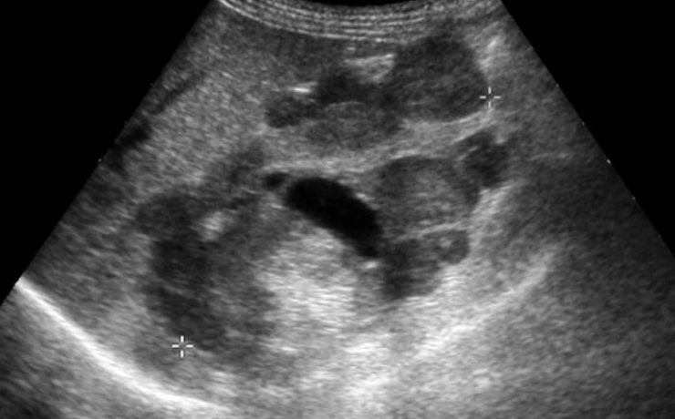
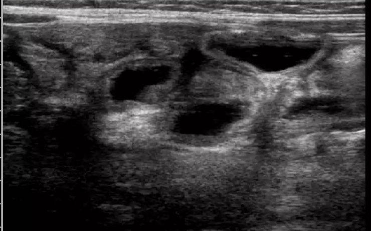
Existen alteraciones ováricas valorables por ecografía tratándose generalmente de alteraciones foliculares las cuales se presentan clínicamente como defectos en la maduración además del número de los mismos. Ecográficamente se diferencia el tamaño, el grosor capsular y su estroma puede estar aumentado e hiperecogénico. Otra patología son los quistes que








